世界之大,无奇不有。据Science Alert网站报道,发表在《爱尔兰医学杂志》上的一篇文章记录了一个奇特的病例。
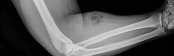
一名33岁的爱尔兰男子因为举重物时下背疼痛住进了都柏林医院。在医院检查时,医生发现他的右下臂红肿且有相当严重的皮下感染迹象,X光片也显示皮肤深层有脓肿发生。
带着这些疑问,医生对患者进行了详细询问,得到的结果令所有人大吃一惊。
原来,这名男子为了“治疗”背痛,按照每月一次的频率,将自己的精液用注射器注入到了右臂的静脉和肌肉中。他的这一举动已经持续了一年半的时间,在最近一次背痛后,他甚至增加了注射的剂量。显然,这名男子自创了一个新的“治疗”方法。了解详情后,接诊的医生以期通过文献检索等多种方法寻求解释,但一无所获。文章作者表示,针对静脉注射精液治疗背痛及精液的医疗和非医疗用途等问题,他们在EMBASE、PubMed、谷歌学术等网站进行了一些列综合检索。只发现1945年有一篇关于皮下注射精液对大鼠和兔子影响的报道,将精液通过静脉注射到人体,则完全没有文献记载。作者称,精液对健康的益处已经在文献中讨论过了。它偶尔会被注射到皮下,用来检测是否对精液过敏,但也存在相当大的争议。而精液能减轻疼痛或专门治疗背部损伤,几乎是闻所未闻的。最终,这位患者被诊断患有蜂窝组织炎(皮肤细菌感染),医生给他静脉注射抗菌药物进行治疗。但是在医生希望进行更加深入的治疗时,这名男子却因为背痛减轻而出院了。因此,研究人员未能解释该男子向手臂注射精液的行为会对其造成哪些影响。但研究人员强调,未经训练自行进行静脉穿刺或试图注射非静脉使用的物质,会给自己带来严重的健康风险。
















