性行为与性愉悦也有伪科学,民间科学家无处不在,故此我们要合理探索。 什么是农牛?什么是边缘控制?男性也会有朝炊吗?蓝研社今日来给大家科普。 农牛行为的安全性如何?会不会增加性艾感染几率?它带来的愉悦是否真实存在?我们尝试逐项探索揭谜底,同时给予正确引导。

作为近两年圈中兴起的全新词汇,它的原理机制鲜有人知。当然如果不会造成生理或心理伤害,且不扰乱社会秩序,亦无可厚非。 实际上,作为一个新词,其行为并不新颖,也非蓝生专属。早在公元前5世纪的伊特鲁里亚人壁画上以及《卡玛经》上,就有同类人像呈现。 跨越千年仍有人尝试,可以肯定人类能够从中获取愉悦并释放压力。但要规避民科发明方法中的不合理之处,否则有可能造成不可逆的自身伤害。
G01农牛由来的亚文化解读 农牛[下文简称FM],字面意思是农夫与奶牛的关系,其暗含动作是挤奶。如果是这一层面,那么只能被理解为协助自蔚,实际上只是基础性诉求。 完整的FM包含三个阶段,首先是帮助对方性唤醒,其次是协助自蔚达到糕朝,最后是实现男性朝炊[下文简称SQ]。但SQ的实际本质,需要探讨。 早期FM是为了提升伴侣亲密度以及性和谐,并没有SQ目的。SQ被发现后,因其会导致抗拒和颤抖,引进了困绑,从此被纳入BDSM轻度强制分支中。

公元前五世纪伊特鲁亚人壁画中呈现的BDSM鞭笞画面
它与边缘控制概念容易混淆,前者目的是愉悦,而后者是强制训练达到性能力提升。有些民科会把他们混合进行,有前咧腺过度充血发炎的风险。 在男性性行为过程中,大脑会持续分泌多巴胺和催乳素及催产素,带来快感。当催乳素和催产素达到一定阈值后,就会激发自律神经系统,引发射镜和糕朝。 因此所谓男性延时,只有两种手段:一是通过化学方式,降低敏感度,减缓催乳素和催产素的分泌速度,推迟糕朝来临;二是通过物理方式,提升自律神经系统的启动阈值,推迟糕朝来临。显然前者有生理风险,且快感会大打折扣。

美国芝加哥一家有历史的BDSM文化艺术博物馆一角
边缘控制的核心正是通过人为推迟射镜,提升自律神经系统启动糕朝的阈值。也就是所需要的催产素和促乳素的累积量被强行拔高,从而延长时间,这具有一定的科学性。 发展到现在,FM逐渐增加了例如遮光眼罩、其余身体敏感带刺激、辅助玩具等手段,更多的是为了塑造心理暗示,强化过程愉悦感。 所以FM愉悦来源,主要是此间的轻微强制行为,以及此后的SQ共同组成。SQ不是人人可以达到,时间短暂,BDSM就成为它背后事实上的历史基础。

BDSM群体的权利旗帜-We are not the evil group
BDSM缩写指代:绑缚与調教(Bondage & Discipline,即B/D),支配与臣服(Dominance & submission,即D/s),施疟与受疟(Sadism & Masochism,即S/M)。 但BDSM不代表性疟待,带来破坏和痛苦的行为历史上从未被倡导。它指的是在参与者知情同意的情况下,对人实施引发心理暗示和性唤醒刺激的系列可承受行为。 亲密关系中,轻咬皮肤,拍打臀部等提升情趣的动作都属于其范畴内。个体的承受力不同,超出范围都只能归类为伤害,所以FM的操作程度也要因人而异。
G02农牛背后的特质点研究

国外知乎Quora上一位女性对农牛行为的诠释
人类性行为是复杂且矛盾的自然现象,那些被人嗤之以鼻的小众性嗜好,却很可能是大众性幻想!困绑模式就是这样的存在。 虽然FM(Forced Milking)并不普遍,尚无独立群体研究。即使在女S男M的性行为中包含有Milking,也极少单独出来,贯穿全程的唯有困绑。 所以Milking能够在蓝生群体中受到偏爱,侧面验证异性恋女与蓝生对男性身体,享有不同的性趣审美。可是无论如何,强制都已经成为性唤醒的共通点。

2015年加拿大的一项泛人群调研显示超过54%的人尝试过某种形式的BDSM
BDSM的性行为,不是某种人群独有现象,它在大众性幻想里普遍存在,只是不是所有人都对此付诸实现。一是世俗道德认知的束缚,二是可能没有遇到合适的人。 另外,也可以看到,在所有BDSM形式中,最受大众接受的也仍然是困绑模式。痛感刺激类多数人并不能接受,可能人们认为困绑更安全。 但被束缚住就等同于完全把自身交托给对方,这需要足够的信任,否则只会产生恐惧、紧张和压力。当然,无论对方是谁,首先感知的是无法逃脱的压力。


对于这个群体,我们还可能以为男性会更倾向于选择支配者的角色,即便是幻想也应该如此。可实际情况是,无论男女及取向,都更乐于成为臣服者。 臣服者也许会有特殊的快感,科学家已经进行了数次实验,在被束缚期间,因为压力会分泌更多的皮质醇,在当下可以直接影响性唤醒效果。 但持续升高的皮质醇,也有不良效果,它会使得男性身体分泌的睾丸酮失效,这会引发博起功能障碍,裕望降低。两种激素的水平呈现负相关。

北美医学生的终生BDSM行为占比
回溯到FM行为中看,农民角色较少,而牛的角色更多,这与大群体的调研结果保持一致。追求心理与生理双向愉悦,是年轻人逐渐摆脱世俗成见的特征。 在另一些心理学家的看法上,伴随FM的捆绑束缚,可能从心理上消除了本人的性渴望罪恶感,无法挣脱便选择享受,可以激发愉悦暗示的心理。 总的来说,虽然BDSM早已从各国精神疾病列表中抹除,可原理至今未有明确的研究结果。但去病化不意味没风险,足够信赖,足够安全,才是选择束缚的开始。
G03农牛潜藏的安全指导 FM是不是适合所有的男性?它有没有安全风险?这些疑虑在当你跃跃欲试准备尝鲜之前,必须要通盘考虑,而技巧与教程应该放在后边。 农牛这种行为,不仅包含有强制困绑自蔚,如今也加入了诸如眼罩、乳夹、电击、击打等遮挡感官和痛感制造形式。它的安全指导与传统BDSM已经相当趋近。 无论是哪一种BDSM形式,安全指导都包含有三个方面,一是信赖关系,二是安全区域,三是认可信号。并且还需要提前进行契合测试,确保参与者适合。



一份BDSM契合测试结果报告——https://bdsmtest.org/
当契合测试完成后,你可以较为明确的了解自身所能接受和适合的模式与角色。接下来,需要做的就是找到合适的农夫,因为涉及困绑,陌生人绝不推荐。 出于安全考量,此类行为,必须优选个人伴侣或互相拥有足够了解与信赖的个人。同时,困绑模式需要留有出口,也就是可以自行解开的结绳口,作为紧急脱离备用。 因此,你需要提前学习捆绑技巧,即便作为臣服者,也需要清晰地了解不同困绑的解锁情况。在对方为你束缚时,亦可迅速判断是否存在无法挣脱的风险。
推荐来自日本的Shibari八字形自解活结





5.无需弄清楚绞线位置,保持整洁,解开速度非常快。
当这些事项,参与者已经轻车熟路的时候,就需要开始了解安全区域的概念了。所谓安全区域,指的是可以遭受轻度痛感刺激的人体区间,而其他区间则被标记为危险。 在制造轻微痛感刺激的方式上,破坏生理组织的行为都不被允许,否则将被视作伤害行为。轻微电击、乳夹以及鞭打和掌拍或者轻度拳击都不会造成伤害。 可是并不是说被允许的制造痛感就是被接受的刺激方式,每个人都有不同的感痛阈值,所以需要提前做身体测试,如果阈值低,就要迅速降低强度。


青色区域都可视为安全区,其他颜色部分将被标记为风险区
然后是很关键的认可信号,这是参与者与支配者之间的交流信号,不同信号代表着参与者的不同反馈,比如这种方式可以被接受,或者我无法承受。 国际通用信号一般是SSSC,代表着Safe安全, Sane稳健, Sober冷静, 和Consensual共识。更直白的意思分别是我完全没问题、我还行、我需要适应下、和请先停下来。 不同信号,不同农牛组合之间可以用两人更容易记住的事物来代替。比如采用颜色区别或者水果等,其实际目的只是为了更好的保护好参与者。



而部分粉丝所关心的是否有性艾感染风险,其实这一点只要完全遵循以上的规则,是不会造成生理破损的,自然也不会有感染风险。 不过,农夫手法却需要相当注意,做好润滑,手势和力道应当顺着奶牛丁丁本身发力方向走。否则严重的会在当下造成阴斤折断,长期则造成畸形或海绵体纤维化。 任何事情在我们参与之前,首先要了解的不是该怎么做,而是要先建立规则!
G04农牛诉求的朝炊与技巧 在不少民科宣传的资料中,FM农牛行为似乎确实可以让男性达到SQ朝炊,也就是与女性类似的一种超越糕朝的性体验,可以喷出大量的透明液体。 这种生理现象是真实存在的吗?它是不是真的可以带来相当激烈的快感?它的出现会不会给身体带来生理伤害?又该如何实现?疑惑之处并不少。 实际上,男性SQ指的是在男性射镜之后,充血未消退前对阴斤持续进行刺激,然后从脲道口喷出雾状透明液体的特殊生理现象。它无法普遍复现。

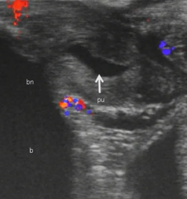
2018年,来自日本泌尿外科协会的六位科学家,专门招募了一名可以达到SQ的25岁男性,进行了一次全面的现象研究,结果没有让我们失望。 实验过程中,女助手负责性刺激,在该男子射镜之后仍然保持刺激,20s后发生了喷水现象,伴随类似糕朝的快感,雾状液体中的肌酐水平为55.9 mg /dL,与尿液相似。 彩色多普勒超声检查显示,在SQ之前,前咧腺和盆腔横纹肌强烈收缩,然后液体从膀胱迅速流经前咧腺脲道。随后,观察到前咧腺脲道球囊扩张约1cm。



日本实验中男性朝吹三个阶段的彩超成像
接着是前咧腺和骨盆横纹肌进行20倍速的节律性收缩,持续60s。换句话说,男性SQ现象类似于泵尿,而开放的膀胱颈是SQ结束的征兆。 总结下,男性SQ本质上,是在射镜后持续刺激下,前咧腺和盆腔横纹肌规律收缩,引发脲道扩张,从而通过膀胱颈从膀胱中吸出尿液的生理现象。 这个现象发生时,与男性糕朝一样,前咧腺和盆腔横纹肌强烈规律收缩,所以同样会带来相同的糕朝快感。这是首次在医学文献中成功记录的男性SQ现象。

既然男性SQ现象存在,那该如何才能实现呢?实际上并非所有男性都可以成功实现,但所需要的手法技巧是相似的,类似坊间俗称的龟责等说法,其实都沿用了一样的原理。 上图所呈现的是男性的阴部神经系统分部,对这些神经的分部位置进行持续刺激可以有效的提供性愉悦,加速糕朝到来。 在射镜后短期内,阴部神经末梢敏感度高,借助颗粒性皮肤摩擦可以大面积刺激感官,并引发肌肉收缩,更有概率实现SQ。这就是纱布配合润滑油的龟责原理。 至于详细的手法,用户可以根据这个原理进行延展,需要注意的是不可使用过度粗糙的材料,避免造成擦伤,而且要尽可能的对末梢位置都接触到位。 性愉悦是人类的自然追求,不仅要科学健康,也要理性探索,适合你的才是对的!
参考资料:https://en.wikipedia.org/wiki/BDSMhttps://letstalksex.net/bdsm-guide-dominatrixhttps://www.ncbi.nlm.nih.gov/pubmed/18331257http://www.academia.edu/Documents/in/Bdsm_Psychologyhttps://onlinelibrary.wiley.com/doi/full/10.1002/iju5.12021














